您好,歡迎光(guāng)臨中科(kē)瑞泰!

免費咨詢電話(huà):
400-699-0631

首頁 > 核酸生(shēng)物學 > 核酸電泳 > PAGE電泳Marker

25bp DNA ladder(25-500bp)

25bp DNA ladder(25-500bp)

産品編号:RTM444

産品規格:50次

數量
價格 ¥300

25bp DNA ladder

● 産品編号及規格:

RTM444          50次 (250 μl)    

● 産品組成:

貨号

名稱

規格

RTM444-01

25bp DNA ladder

50次(250 μl

DL070-01

6×Native-PAGE DNA上樣緩沖液

1 ml

DL020-01

6×DualColor DNA loading buffer (雙染料)

1 ml

● 産品簡介:

本産品是由8條帶狀雙鏈DNA條帶組成的精準定量Marker,适用于聚丙烯酰胺凝膠電泳中DNA條帶大(dà)小和含量的分(fēn)析。8條帶的大(dà)小分(fēn)别爲25,50,100,150,200,300,400,500bp。其中200bp bp條帶爲加亮帶,含量爲100ng/5μl,其餘條帶濃度爲50ng/5μl。

本産品爲雙鏈DNA Marker,适用于非變性的PAGE電泳和瓊脂糖凝膠電泳,不适用于尿素PAGE電泳。由于片段較小,如(rú)使用瓊脂糖分(fēn)離(lí),建議(yì)使用高分(fēn)辨率瓊脂糖凝膠電泳分(fēn)離(lí)。

按照(zhào)每次上樣5 μl計(jì)算,該産品可(kě)以使用50次。

● 儲存、效期及運輸:

  4 貯存6個月(-20℃有效期3年(nián));濕冰運輸。

● 使用方法:

一、 TBE-PAGE凝膠分(fēn)離(lí):

1.1制備凝膠步驟:

1.1.1參照(zhào)凝膠模具說(shuō)明書(shū),裝配好凝膠模具。

1.1.2按照(zhào)表一将不同體(tǐ)積的成分(fēn)在小燒杯或試管中混合;最後加入10%APS和TEMED,輕輕攪拌使其混勻,避免産生(shēng)氣泡。

     注:25bp DNA ladder适用于配制15%TBE-PAGE膠。

1.1.3在凝膠模具中灌入适量分(fēn)離(lí)膠溶液(對于mini-gel,凝膠液加至約距前玻璃闆頂端1.5 cm或距梳齒約0.5 cm即可(kě)),然後在分(fēn)離(lí)膠溶液上輕輕覆蓋一層1-2 cm的無水乙醇,使凝膠表面保持平整。

1.1.4靜(jìng)置10-20分(fēn)鍾,待分(fēn)離(lí)膠和乙醇層之間出現一個清晰的界面後,說(shuō)明凝膠已聚合

表一 TBE-PAGE分(fēn)離(lí)膠配方表 (總體(tǐ)積5 ml,适用于1mm厚度小闆膠)

各組份體(tǐ)積(ml

最佳DNA分(fēn)離(lí)範圍

凝膠濃度

滅菌水

30%PAA291

5×TBE

10%APS

TEMED

70-450 bp

6%

3

1.0

1.0

0.05

0.005

60-460 bp

8%

2.66

1.34

1.0

0.05

0.005

50-300 bp

10%

2.33

1.67

1.0

0.05

0.005

40-200 bp

12%

2

2.0

1.0

0.05

0.005

25-150 bp

15%

0.5

2.5

1.0

0.05

0.005

5-100 bp

20%

0.66

3.34

1.0

0.05

0.005

1.1.5去(qù)除覆蓋在分(fēn)離(lí)膠上的乙醇;按照(zhào)表二将不同體(tǐ)積成分(fēn)在一個小燒杯或試管中混合;最後加入10%過硫酸铵和TEMED,輕輕攪拌使其混勻,避免産生(shēng)氣泡。

表二 TBE-PAGE 4%濃縮配方表 (總體(tǐ)積1.5 ml,适用于1mm厚度小闆膠)

各組份體(tǐ)積(ml

凝膠濃度

滅菌水

30%PAA291

5×TBE

10%APS

TEMED

4%

1.0

0.2

0.3

0.02

0.002

1.1.6将濃縮膠溶液加至分(fēn)離(lí)膠的上面,直至凝膠溶液到達前玻璃闆的頂端;将梳子插入凝膠内,避免産生(shēng)氣泡。

1.1.7靜(jìng)置30-60分(fēn)鍾,等待濃縮膠聚合。

注:凝膠的聚合時間與環境溫度有關。夏天溫度較高時,聚合較快(kuài);冬天氣溫低時,聚合時間會延長。可(kě)以根據環境溫度的不同調節APS的加入量。

1.2 電泳:

1.2.1 将凝膠闆固定在電泳裝置上,往上槽和下槽中加入1×TBE電泳液,1 ml吸頭沖洗加樣孔1-2次。

1.2.2 取待測樣品,加入相(xiàng)應體(tǐ)積6×Native PAGE DNA上樣緩沖液,如(rú)5 μl樣品加1 μl 上樣緩沖液,短(duǎn)暫離(lí)心後取5-10 μl上樣。 25bp DNA ladder已經含有上樣緩沖液,1 mm厚10齒梳子直接上樣5 μl,其餘梳齒和厚度凝膠适量調整上樣量。

1.2.3 連接電源線,打開電源開關。200 V穩壓電泳。至二甲苯菁指示前沿到達距離(lí)凝膠下沿二分(fēn)之一位置時結束電泳(~50bp),此時溴酚藍指示前沿在凝膠下沿邊界(~17bp)。

PAGE凝膠濃度

恒電壓

起始電流

結束電流

二甲苯菁

溴酚藍

電泳時間

15%

200 V

25-30 mA/闆膠

10-18 mA/闆膠

~50 bp

~17 bp

35+min

1.3染色:

1.3.1 漂洗:玻璃闆上拆下凝膠後,适量蒸餾水漂洗3-5分(fēn)鍾。

1.3.2 染色液配制:

     TBE-PAGE膠可(kě)以使用RealSafe類染料後染染色,以下程序用RealSafe Red核酸染料(貨号:GR002)進行染色。即用型染色液配制:

 

即用型RealSafe核酸染色液

 

配制量100 ml

1×TBE

100 ml

RealSafe Red核酸染料

10 μl

1.3.3染色和觀察:

     凝膠浸泡于即用型染色液中,常溫避光(guāng)搖床40-60 rpm染色30 分(fēn)鍾。紫外光(guāng)或藍光(guāng)儀下觀察。


 二、 瓊脂糖凝膠分(fēn)離(lí):

2.1 瓊脂糖凝膠制備:

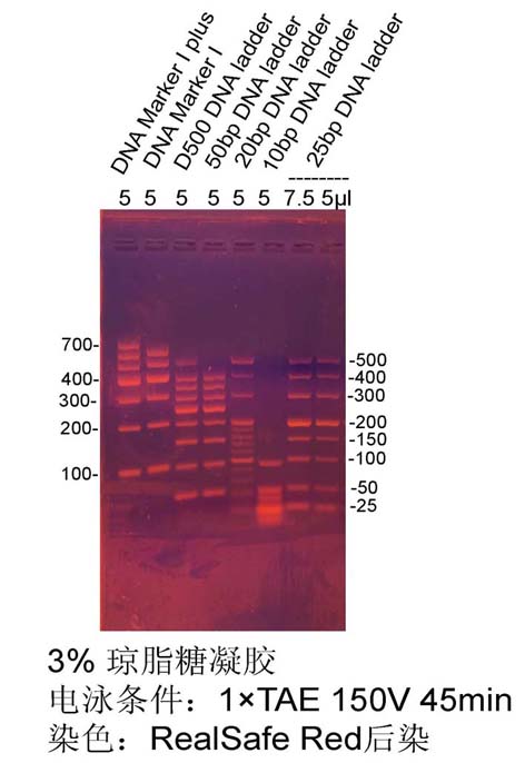
    由于片段較小,建議(yì)選用高分(fēn)辨率瓊脂糖(貨号AR1036)制膠。以下步驟以制備50 ml 3%凝膠爲例:

稱取1.5 g瓊脂糖于玻璃三角瓶中,加入50 ml 1×TAE,5 μl RealSafe Red核酸染料或其他(tā)核酸染料(如(rú)EB,GoldView),混勻,蓋好瓶蓋,微波爐中火(huǒ)加熱(rè)至沸騰,輕搖混勻,重複1-2次至瓊脂糖完全溶解,無可(kě)見(jiàn)顆粒。倒入制膠容器中,插好梳子,常溫凝固30-50分(fēn)鍾至凝膠完全凝固。

2.2 電泳:

取待測樣品,加入相(xiàng)應體(tǐ)積6×DualColor DNA loading buffer,如(rú)10 μl樣品加2 μl 上樣緩沖液,短(duǎn)暫離(lí)心後取5-10 μl上樣。 25bp DNA ladder 1 mm厚10齒梳子上樣5 μl,其餘梳齒和厚度凝膠适量調整上樣量。

建議(yì)電泳條件(jiàn):凝膠濃度爲3%,電泳電壓8-10 v/cm(單位電壓指電泳槽陰陽極之間的距離(lí)電壓,如(rú)陰極陽極之間的距離(lí)爲20 cm,可(kě)以用160-200 V電壓進行穩壓電泳),待溴酚藍指示前沿距離(lí)凝膠末端2 cm時終止電泳,電泳時間35-40分(fēn)鍾。

瓊脂糖濃度

電泳緩沖液

二甲苯菁

溴酚藍

單位電壓

電泳時間

3%

1×TAE

~1000 bp

~100 bp

8-10 V/cm

40min+

1×TBE

~700 bp

~60 bp

8-10 V/cm

40min+

2.3觀察條帶。

注:使用EB或Goldview染料時,由于染料本身(shēn)帶正電荷較多,随着電泳時間的延長,染料會向陰極聚集,導緻小片段核酸結合的染料含量降低,會出現小片段的DNA片段紫外燈下亮度變弱或不可(kě)見(jiàn)。此時可(kě)以将膠浸泡于含有染料的電泳緩沖液中染色15-20分(fēn)鍾即可(kě)看(kàn)到小片段。使用RealSafe類染料可(kě)以直接觀察條帶。

2.4 實驗示例:

 


 
隻有購(gòu)買過該商品的用戶才能進行評價。[發表評價]