您好,歡迎光(guāng)臨中科(kē)瑞泰!

免費咨詢電話(huà):
400-699-0631

首頁 > 蛋白(bái)生(shēng)物學 > 蛋白(bái)Marker > 非變性蛋白(bái)Marker

寬分(fēn)子量非變性電泳蛋白(bái)質Marker 21-880 kD

寬分(fēn)子量非變性電泳蛋白(bái)質Marker 21-880 kD

産品編号:RTD6144

産品規格:20次

數量
價格 ¥600

購(gòu)買前先必讀(dú)

非變性蛋白(bái)電泳Marker轉膜問(wèn)題

news_detail-248.html



寬分(fēn)子量非變性電泳蛋白(bái)質Marker21-880 kD

Broad MW Native Electrophoresis Protein Marker21-880 kD

●産品編号及規格:

RTD6144   20次 100 μl

●儲存及運輸條件(jiàn):

-20℃保存,濕冰運輸,有效期爲12個月。

産品簡介:

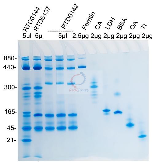
    本産品有5種蛋白(bái)組成,分(fēn)子量範圍爲21-880 kD,經過非變性電泳後,用考馬斯亮藍染色後可(kě)以得(de)到5條主帶。

蛋白(bái)名稱

分(fēn)子量(kD)

蛋白(bái)來(lái)源

pI

說(shuō)明

Ferritin

440

880

equine spleen

N/A

非變性下440kD880 kD

Carbonic Anhydrase

300

Bovine Erythrocytes

6.4

單體(tǐ)分(fēn)子量29kD,非變性下爲10聚體(tǐ),低于300kD有電荷異構體(tǐ)(charge isomer

Lactic Dehydrogenase

165

Microorganism

4.5

球蛋白(bái),單體(tǐ)分(fēn)子量36 kD,非變性下可(kě)形成四聚體(tǐ)

Ovalbumin

45

egg white

4.714.59

球蛋白(bái),分(fēn)子量爲45kD,非變性條件(jiàn)下大(dà)于45kD會出現電荷異構體(tǐ)(charge isomer

Trypsin Inhibitor

21

Soybean

4.5

非變性下21 kD

使用說(shuō)明:

1. 取出産品後,常溫融化後,徹底混勻,上樣電泳。

注:上樣量根據膠的厚度和梳子的寬度确定。一般說(shuō)來(lái),1.0厚度10齒梳子加樣孔上樣5 μl1.0厚度15齒梳子加樣孔上樣量2.5 μl,其他(tā)規格梳子請(qǐng)适當調整上樣量。

2. 該産品不含蛋白(bái)凝膠制備試劑,您可(kě)以選擇非變性PAGE凝膠制備及電泳試劑盒(貨号:RTD6130)或者蛋白(bái)預制膠(貨号RTD6118)。如(rú)自(zì)備試劑,經典Laemmli系統中把制膠溶液、電泳緩沖液和上樣緩沖液中的SDS和還(hái)原劑(DTT或β-巯基乙醇)全部去(qù)除即可(kě)進行非變性電泳。

3. 電泳條件(jiàn):

建議(yì)使用10%非變性膠或者4-20%梯度非變性膠(貨号:RTD6118-0420)進行電泳。

恒電壓

120 V

起始電流

27-35 mA/闆膠

結束電流

7-10 mA/闆膠

電泳時間

1h20min+

4. 電泳結束後,考馬斯亮藍染色,觀察結果。

注:使用銀染染色時,由于靈敏度高于考馬斯亮藍染色方法,需要适當降低Marker上樣量,一般稀釋50倍後上樣。

注意:

1. 本蛋白(bái)Marker不适用于變性蛋白(bái)電泳(SDS-PAGE),因爲在SDS存在下,含有多個亞單位的蛋白(bái)會不同程度解聚。

2. 在非變性條件(jiàn)下,蛋白(bái)的遷移與蛋白(bái)的電荷、蛋白(bái)形狀以及蛋白(bái)分(fēn)子量都(dōu)有關。因此,在一種凝膠濃度下使用本Marker不能精确估計(jì)出目的蛋白(bái)的分(fēn)子量。非變性電泳中,蛋白(bái)分(fēn)子量的确定應該是在不同凝膠濃度下,确定出蛋白(bái)的Rf值,繪制出凝膠濃度對Rf的曲線從(cóng)而判定蛋白(bái)的分(fēn)子量。

● 實驗示例:

1 4-20% Tris-甘氨酸 非變性膠電泳:


    4-20% RealPAGE Precast Gel
1×TG 200V 50-19mA  47min

2. 4-16% Blue Native:


3: 4-15% Tris-甘氨酸非變性:



使用蛋白(bái)Marker産品發表部分(fēn)文章(zhāng)列表:

1. [2021 IF=5.5] Garviecin LG34, a novel bacteriocin produced by Lactococcus garvieae isolated from traditional Chinese fermented cucumber.

Author: Yurong Gao, Dapeng Li, Shan Liu, Liyuan Zhang

Marker: RTD6110,彩虹超低分(fēn)子量蛋白(bái)Marker(1.2-45 kD)

Journal: Food Control 50 (2015) 896e900

Institution:Key Laboratory of Veterinary Medicine of Heilongjiang Bayi Agricultural University

Paper linkhttp://dx.doi.org/10.1016/j.foodcont.2014.10.040

 

2. [2021 IF=5.5] Purification and partial characterization of M1-UVs300, a novel bacteriocin produced by   isolated from fermented sausage Lactobacillus plantarum.

Author: Yu An, Ying Wang, Xiaoyue Liang, Huaxi Yi, Zhaohang Zuo, Xiaoxi Xu, Dongjie

Zhang, Changqing Yu, Xue Han

Marker: RTD6110,彩虹超低分(fēn)子量蛋白(bái)Marker(1.2-45 kD)

Journal: Food Control  Volume 81, November 2017, Pages 211-217

Institution:Key Laboratory of Veterinary Medicine of Heilongjiang Bayi Agricultural University

Paper linkhttps://doi.org/10.1016/j.foodcont.2017.05.030

 

3. [2021 IF=5.75] The Verticillium dahliae SnodProt1-Like Protein VdCP1 Contributes to Virulence and Triggers the Plant Immune System.

Author: Yi Zhang, Yuhan Gao, Yingbo Liang, Yijie Dong, Xiufen Yang, Jingjing Yuan and Dewen Qiu

Marker: RTD6110,彩虹超低分(fēn)子量蛋白(bái)Marker(1.2-45 kD)

Journal: Frontiers in Plant Science.  Volume 81, November 2017, Pages 211-217

InstitutionInstitute of Plant Protection, Chinese Academy of Agricultural Sciences

Paper linkhttps://doi.org/10.1093/jxb/ery351

 

4. [2021 IF=2.99] Purifcation, characterization, and action mechanism of plantaricin DL3, a novel bacteriocin against Pseudomonas aeruginosa produced by Lactobacillus plantarum DL3 from Chinese Suan Tsai.

Author: Xinran Lv,  Yang Lin ,Yu Jie, Mengtong Sun, Bolin Zhang,Fengling Bai,Hongfei Zhao,Jianrong Li

Marker: RTD6127,超低分(fēn)子量蛋白(bái)Marker IV(3.3-45 kD)

Journal: European Food Research and Technology. Vol 244, pages 323–331 (2018)

InstitutionCollege of Biological Science and Biotechnology, Beijing Forestry University

Paper linkhttps://link.springer.com/article/10.1007/s00217-017-2958-3

 

5. [2021 IF=6.99] Verticillium dahliae Alt a 1-like protein PevD1 targets cotton PR5-like protein and contributes to fungal infection.

Author: Yi Zhang, Yuhan Gao, Yingbo Liang, Yijie Dong, Xiufen Yang, Dewen Qiu

Marker: RTD6110,彩虹超低分(fēn)子量蛋白(bái)Marker (1.2-45 kD)

Journal: Journal of Experimental Botany, Vol 70, Issue 2, 15 January 2019,613-626

InstitutionInstitute of Plant Protection, Chinese Academy of Agricultural Sciences

Paper linkhttps://doi.org/10.1093/jxb/ery351

 

6. [2021 IF=11.277] An  Alternative  Splicing  Variant  of  PtRD26  Delays  Leaf  Senescence by Regulating Multiple NAC Transcription Factors in Populus.

Author: Hou-Ling Wang,Yi Zhang,Ting Wang, Qi Yang,Yanli Yang,Ze Li, Bosheng Li, Xing Wen, Wenyang Li, Weilun Yin, Xinli Xia, Hongwei Guo, and Zhonghai Li

Marker: RTD6110,彩虹預染超低分(fēn)子量蛋白(bái)(1.2-45 kD)

Journal: Plant Cell. Volume 33, Issue 5, May 2021, Pages 1594–1614

InstitutionBeijing Advanced Innovation Center for Tree Breeding by Molecular Design, Beijing Forestry University

Paper linkhttps://doi.org/10.1093/plcell/koab046

 

7. [2021 IF=2.89] Rapid and sensitive detection ofStaphylococcus aureus and Klebsiella pneumonia based on bacitracin-modified Fe3O4@PDA magnetic beads combined with matrix-assisted laser desorption ionization-time of flight mass spectrometry.

Author: Feng Qin, Shujuan Wang, Mingxia Gao  and  Xiangmin Zhang

Marker: RTD6110,彩虹預染超低分(fēn)子量蛋白(bái)(1.2-45 kD)

Journal: Analytical Methods. 2021,13, 2804-2811

InstitutionDepartment of Chemistry, Fudan University

Paper linkhttps://pubs.rsc.org/en/content/articlelanding/2021/ay/d1ay00614b

 

8. [2021 IF=3.74] Cloning, expression, and function of ferritins in the tick Haemaphysalis flava.

Author: Yu Zhao, Lei Liu, Jin-Bao Liu, Cong-Ying Wu, De-Yong Duan, Tian-Yin Cheng

Marker: RTD6142 高分(fēn)子量非變性電泳蛋白(bái)質Marker II(45-669 kD)

Journal: Ticks and Tick-borne Diseases. Volume 13, Issue 2, March 2022, 101892

InstitutionCollege of Veterinary Medicine, Hunan Agricultural University,

Paper linkhttps://linkinghub.elsevier.com/retrieve/pii/S1877959X21002454

 

9. [2021 IF=0.886] Purification and Characterization of an Intracellular β-Glucosidase from the Protoplast Fusant of Aspergillus oryzae and Aspergillus niger

Author: F.M. Zhu, B. Du, H.S. Gao, C.J. Liu, and J. Lia

Marker: RTD6109 高分(fēn)子量蛋白(bái)質Marker(43-200 kD)

Journal: Applied Biochemistry and Microbiology, 2010, Vol. 46, No. 6, pp. 626–632

InstitutionCollege of Food Science and Technology, Hebei Normal University of Science and Technology

Paper linkhttps://link.springer.com/article/10.1134/S0003683810060116

 

10. [2021 IF=4.374] Effect of Fuzhuan brick-tea addition on the quality and antioxidant activity of skimmed set-type yoghurt.

Author: Dong Liu

Marker: RTD6103 低分(fēn)子量蛋白(bái)質Marker II(14.4-116 kD)

Journal: International Journal of Dairy Technology, Vol 71 March 2018 Pages 22-33

InstitutionDepartment of Food Processing Technology, Anqing Vocational & Technical College

Paper linkhttps://doi.org/10.1111/1471-0307.12395

 

11. [2021 IF=3.7] Smart delivery of poly-peptide composite for effective cancer therapy

Author: Xin Yuan, Yingzhou Qin, Qingmei Tian, Cuijuan Liu, Xiangzhou Meng, Bo Qie, Fan Gao, Ying Huang, Guanghui Xu, Guang Yang, Yimin Zhu

Marker: Protein Marker

Journal: Biomedical Materials, 2022 Jan 24;17(2)

Institution:School of Nano-Tech and Nano-Bionics, University of Science and Technology of China

Paper linkhttps://pubmed.ncbi.nlm.nih.gov/34996052/

 


 
隻有購(gòu)買過該商品的用戶才能進行評價。[發表評價]