您好,歡迎光(guāng)臨中科(kē)瑞泰!

免費咨詢電話(huà):
400-699-0631

首頁 > 抗體(tǐ) > 一抗 > 标簽抗體(tǐ)

Anti-His抗體(tǐ)(兔多抗)

Anti-His抗體(tǐ)(兔多抗)

産品編号:RGH2040

産品規格:20μl

數量
價格 ¥300

Anti-His抗體(tǐ)(兔多抗)

Anti-His Antibody(Polyclonal Antibody from Rabbit)

産品編号

産品名稱

規格

RGH2040

Anti-His抗體(tǐ)(兔多抗)

20 μl

産品簡介

來(lái)源

用途及稀釋比例

識别位點

抗體(tǐ)類型

Rabbit

WB 1:2000-5000

IP 1:50-100

IF 1:200-1000

His-tag (HHHHHH)

多克隆抗體(tǐ)

注:WB, Western blot; IP, Immunoprecipitation; IF, Immunofluorescence

Anti-His抗體(tǐ)(兔多抗)是用經過适當修飾的人(rén)工(gōng)合成6xHis作(zuò)爲抗原制備而成的抗His-tag兔多克隆抗體(tǐ)。廣泛地用于His-tag (HHHHHH)融合表達蛋白(bái)的檢測。His-tag抗體(tǐ)可(kě)用于檢測和His-tag融合表達蛋白(bái)的表達、細胞内定位,以及純化、定性或定量檢測His-tag融合表達蛋白(bái)等。

本抗體(tǐ)如(rú)果用于常規的Western檢測,至少可(kě)以檢測20次。

貯存形式:

穩定溶液,1 mg/ml抗體(tǐ)溶于PBS,50%甘油,pH7.2。

保存及運輸條件(jiàn):

-20℃保存,一年(nián)有效;避免反複凍融;濕冰運輸。

使用說(shuō)明:

1. Western Blot雜交(ECL顯色):1:2000-5000稀釋,常溫孵育1-2 h或4℃過夜。

Western Blot雜交(AP顯色):1:4000-6000稀釋,常溫孵育1-2 h或4℃過夜。

2. 免疫熒光(guāng)(IF):1:200-1000稀釋。

3. 免疫沉澱(IP)、Dot Blot:需通過滴定實驗确定最佳反應濃度。

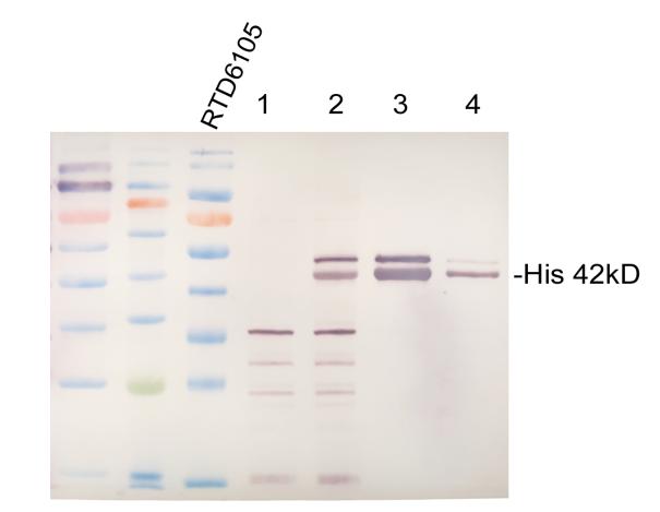
實驗示例:

 

Anti-His Ab diluted 1:6000, Goat anti-rabbit IgG-AP diluted 1:5000, Developed with BCIP/NBT Solution Premixed.

lane 1: Bacterial lysis with His Vector as CK

lane 2: Bacterial lysis with His Vector induced by IPTG

lane 3 and 4: His protein purified with NTA resins


 
隻有購(gòu)買過該商品的用戶才能進行評價。[發表評價]