您好,歡迎光(guāng)臨中科(kē)瑞泰!

免費咨詢電話(huà):
400-699-0631

首頁 > 蛋白(bái)生(shēng)物學 > 蛋白(bái)Marker > 變性蛋白(bái)Marker

66 kD單條蛋白(bái)Marker

66 kD單條蛋白(bái)Marker

産品編号:RB5015M

産品規格:50mg

數量
價格 ¥150

66 kD單條蛋白(bái)Marker

貨号

名稱

規格

RB5015M

66 kD單條蛋白(bái)Marker

50 mg

産品編号及規格:

貨号

名稱

規格

貯存

RB5015M-01

66 kD單條蛋白(bái)Marker粉末

50 mg

-20

PL080-01

5×MonoColor蛋白(bái)上樣緩沖液(變性,還(hái)原)

1 ml

-20℃

儲存、效期及運輸:

  -20保存

産品簡介:

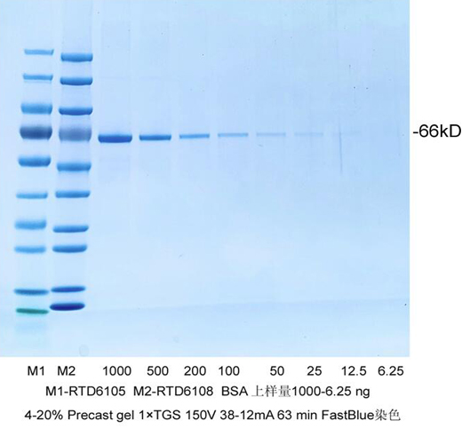
   本産品包含一種已知分(fēn)子量的标準蛋白(bái)質,分(fēn)子量大(dà)小爲66 kD,可(kě)以用來(lái)判斷 SDS-PAGE未知蛋白(bái)的分(fēn)子量。66 kD單條蛋白(bái)Marker 以幹粉狀态提供。以每次上樣10 μl(2 μg)計(jì)算,本産品可(kě)以使用約25000次。

使用說(shuō)明:

1 配制10 mg/ml 66 kD蛋白(bái)Marker母液:

取10mg 粉末溶于1ml超純水中。此溶液-20貯存。

2 按照(zhào)下表配制Marker溶液

配制量

濃度

66 kD母液(10 mg/ml)

超純水

蛋白(bái)上樣緩沖液

1 M DTT(可(kě)選)

50 μl

0.2 μg/μl

1 μl

39 μl

10 μl

2.5 μl

100 μl

0.2 μg/μl

2 μl

78 μl

20 μl

5 μl

注:由于蛋白(bái)上樣緩沖液中DTT含量會随貯存時間延長而降低,可(kě)以選擇補加DTT。

2.1  取配制好的溶液徹底混勻後,95處理(lǐ)5分(fēn)鍾立即上樣電泳,每次上樣10μl。

2.2  電泳結束後,染色,觀察結果。


3 使用示例:



使用蛋白(bái)Marker産品發表部分(fēn)文章(zhāng)列表:

1. [2021 IF=5.5] Garviecin LG34, a novel bacteriocin produced by Lactococcus garvieaeisolated from traditional Chinese fermented cucumber.

Author: Yurong Gao, Dapeng Li, Shan Liu, Liyuan Zhang

Marker: RTD6110,彩虹超低分(fēn)子量蛋白(bái)Marker(1.2-45 kD)

Journal: Food Control 50 (2015) 896e900

Institution:Key Laboratory of Veterinary Medicine of Heilongjiang Bayi Agricultural University

Paper linkhttp://dx.doi.org/10.1016/j.foodcont.2014.10.040

 

2. [2021 IF=5.5] Purification and partial characterization of M1-UVs300, a novel bacteriocin produced by   isolated from fermented sausage Lactobacillus plantarum.

Author: Yu An, Ying Wang, Xiaoyue Liang, Huaxi Yi, Zhaohang Zuo, Xiaoxi Xu, Dongjie

Zhang, Changqing Yu, Xue Han

Marker: RTD6110,彩虹超低分(fēn)子量蛋白(bái)Marker(1.2-45 kD)

Journal: Food Control  Volume 81, November 2017, Pages 211-217

Institution:Key Laboratory of Veterinary Medicine of Heilongjiang Bayi Agricultural University

Paper linkhttps://doi.org/10.1016/j.foodcont.2017.05.030

 

3. [2021 IF=5.75] The Verticillium dahliae SnodProt1-Like Protein VdCP1 Contributes to Virulence and Triggers the Plant Immune System.

Author: Yi Zhang, Yuhan Gao, Yingbo Liang, Yijie Dong, Xiufen Yang, Jingjing Yuan and Dewen Qiu

Marker: RTD6110,彩虹超低分(fēn)子量蛋白(bái)Marker(1.2-45 kD)

Journal: Frontiers in Plant Science.  Volume 81, November 2017, Pages 211-217

InstitutionInstitute of Plant Protection, Chinese Academy of Agricultural Sciences

Paper linkhttps://doi.org/10.1093/jxb/ery351

 

4. [2021 IF=2.99] Purifcation, characterization, and action mechanism of plantaricin DL3, a novel bacteriocin against Pseudomonas aeruginosa produced by Lactobacillus plantarum DL3 from Chinese Suan Tsai.

Author: Xinran Lv,  Yang Lin ,Yu Jie, Mengtong Sun, Bolin Zhang,Fengling Bai,Hongfei Zhao,Jianrong Li

Marker: RTD6127,超低分(fēn)子量蛋白(bái)Marker IV(3.3-45 kD)

Journal: European Food Research and Technology. Vol 244, pages 323–331 (2018)

InstitutionCollege of Biological Science and Biotechnology, Beijing Forestry University

Paper linkhttps://link.springer.com/article/10.1007/s00217-017-2958-3

 

5. [2021 IF=6.99] Verticillium dahliae Alt a 1-like protein PevD1 targets cotton PR5-like protein and contributes to fungal infection.

Author: Yi Zhang, Yuhan Gao, Yingbo Liang, Yijie Dong, Xiufen Yang, Dewen Qiu

Marker: RTD6110,彩虹超低分(fēn)子量蛋白(bái)Marker (1.2-45 kD)

Journal: Journal of Experimental Botany, Vol 70, Issue 2, 15 January 2019,613-626

InstitutionInstitute of Plant Protection, Chinese Academy of Agricultural Sciences

Paper linkhttps://doi.org/10.1093/jxb/ery351

 

6. [2021 IF=11.277] An  Alternative  Splicing  Variant  of  PtRD26  Delays  Leaf  Senescence by Regulating Multiple NAC Transcription Factors in Populus.

Author: Hou-Ling Wang,Yi Zhang,Ting Wang, Qi Yang,Yanli Yang,Ze Li, Bosheng Li, Xing Wen, Wenyang Li, Weilun Yin, Xinli Xia, Hongwei Guo, and Zhonghai Li

Marker: RTD6110,彩虹預染超低分(fēn)子量蛋白(bái)(1.2-45 kD)

Journal: Plant Cell. Volume 33, Issue 5, May 2021, Pages 1594–1614

InstitutionBeijing Advanced Innovation Center for Tree Breeding by Molecular Design, Beijing Forestry University

Paper linkhttps://doi.org/10.1093/plcell/koab046

 

7. [2021 IF=2.89] Rapid and sensitive detection ofStaphylococcus aureus and Klebsiella pneumonia based on bacitracin-modified Fe3O4@PDA magnetic beads combined with matrix-assisted laser desorption ionization-time of flight mass spectrometry.

Author: Feng Qin, Shujuan Wang, Mingxia Gao  and  Xiangmin Zhang

Marker: RTD6110,彩虹預染超低分(fēn)子量蛋白(bái)(1.2-45 kD)

Journal: Analytical Methods. 2021,13, 2804-2811

InstitutionDepartment of Chemistry, Fudan University

Paper linkhttps://pubs.rsc.org/en/content/articlelanding/2021/ay/d1ay00614b

 

8. [2021 IF=3.74] Cloning, expression, and function of ferritins in the tick Haemaphysalis flava.

Author: Yu Zhao, Lei Liu, Jin-Bao Liu, Cong-Ying Wu, De-Yong Duan, Tian-Yin Cheng

Marker: RTD6142 高分(fēn)子量非變性電泳蛋白(bái)質Marker II(45-669 kD)

Journal: Ticks and Tick-borne Diseases. Volume 13, Issue 2, March 2022, 101892

InstitutionCollege of Veterinary Medicine, Hunan Agricultural University,

Paper linkhttps://linkinghub.elsevier.com/retrieve/pii/S1877959X21002454

 

9. [2021 IF=0.886] Purification and Characterization of an Intracellular β-Glucosidase from the Protoplast Fusant of Aspergillus oryzae and Aspergillus niger

Author: F.M. Zhu, B. Du, H.S. Gao, C.J. Liu, and J. Lia

Marker: RTD6109 高分(fēn)子量蛋白(bái)質Marker(43-200 kD)

Journal: Applied Biochemistry and Microbiology, 2010, Vol. 46, No. 6, pp. 626–632

InstitutionCollege of Food Science and Technology, Hebei Normal University of Science and Technology

Paper linkhttps://link.springer.com/article/10.1134/S0003683810060116

 

10. [2021 IF=4.374] Effect of Fuzhuan brick-tea addition on the quality and antioxidant activity of skimmed set-type yoghurt.

Author: Dong Liu

Marker: RTD6103 低分(fēn)子量蛋白(bái)質Marker II(14.4-116 kD)

Journal: International Journal of Dairy Technology, Vol 71 March 2018 Pages 22-33

InstitutionDepartment of Food Processing Technology, Anqing Vocational & Technical College

Paper linkhttps://doi.org/10.1111/1471-0307.12395

 

11. [2021 IF=3.7] Smart delivery of poly-peptide composite for effective cancer therapy

Author: Xin Yuan, Yingzhou Qin, Qingmei Tian, Cuijuan Liu, Xiangzhou Meng, Bo Qie, Fan Gao, Ying Huang, Guanghui Xu, Guang Yang, Yimin Zhu

Marker: Protein Marker

Journal: Biomedical Materials, 2022 Jan 24;17(2)

Institution:School of Nano-Tech and Nano-Bionics, University of Science and Technology of China

Paper linkhttps://pubmed.ncbi.nlm.nih.gov/34996052/

 


 
隻有購(gòu)買過該商品的用戶才能進行評價。[發表評價]